Dental Bridges: Your Quick Guide to Replacing Missing Teeth at Pelican Dental Care
- What is a dental bridge?
- How is a dental bridge attached to your teeth?
- What are the different types of dental bridges?
- Who is a good candidate for a dental bridge?
- How Long Does the Dental Bridge Process Take?
- How many teeth can a dental bridge replace?
- What are the advantages of dental bridges?
- What are the disadvantages of dental bridges?
- Is a dental bridge cheaper than an implant?
- How much does a dental bridge cost?
- How long does a dental bridge last?
- How do you care for a dental bridge?
- What are the alternatives to dental bridges?
- Pelican Dental Care's Dental Bridge Special (New)
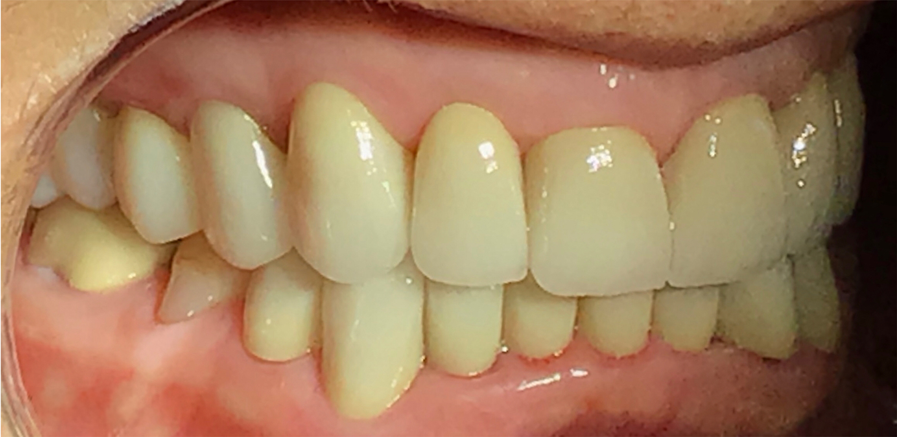
A dental bridge is a restorative dental solution designed to replace one or more missing teeth by literally "bridging" the gap in your smile. It consists of one or more artificial teeth, called pontics, that are anchored to your natural teeth or dental implants on either side of the gap.
At Pelican Dental Care, we have developed extensive relationships with our trusted dental labs for over 14 years. This ensures that every dental bridge we provide is crafted with precision and care. Additionally, all our crowns and bridges are proudly made in the USA, guaranteeing the highest quality and reliability for our patients.
A dental bridge is securely anchored in place using the teeth or implants adjacent to the gap. These supporting teeth, called abutments, provide a stable foundation for the bridge. Here’s how the process works:
- Preparation of Abutment Teeth: If natural teeth are used as anchors, they are reshaped to hold dental crowns that will support the bridge. For implant-supported bridges, the implants act as the anchors.
- Custom Design for a Precise Fit: Impressions or digital scans of your teeth are taken to ensure the bridge is designed to fit seamlessly and restore your bite and smile.
- Temporary Bridge Placement: A temporary bridge may be placed to protect your teeth while your permanent one is being crafted.
- Permanent Bridge Placement: Once the custom bridge is ready, it is adjusted for comfort and securely bonded in place.
At Pelican Dental Care, we prioritize precision and quality, working with experienced dental labs to ensure that your bridge is both durable and aesthetically pleasing.
Dental bridges come in several types, each designed to address specific needs and preferences. The most common types include:
Traditional Dental Bridge
- This is the most common type of bridge. It consists of one or more artificial teeth (pontics) held in place by crowns that are cemented onto the natural teeth on either side of the gap.
- Ideal for: Replacing teeth when natural teeth are present on both sides of the gap.
Cantilever Dental Bridge
- Similar to a traditional bridge, but it is supported by a crown on only one adjacent tooth.
- Ideal for: Situations where there is only one supporting tooth next to the gap.
- Note: Cantilever bridges are less commonly used as they may place additional force on the supporting tooth.
Maryland Dental Bridge (Resin-Bonded Bridge)
- This type uses a metal or porcelain framework bonded to the back of adjacent teeth instead of crowns.
- Ideal for: Replacing missing front teeth, as it is less invasive and preserves the surrounding teeth.
Implant-Supported Bridge
- This bridge is anchored by dental implants rather than natural teeth. It is highly durable and often used when multiple teeth are missing.
- Ideal for: Long-term solutions, especially when several teeth are missing in a row
At Pelican Dental Care, we assess your unique dental needs to recommend the most suitable type of bridge, ensuring a long-lasting and natural-looking result. Whether you need a traditional bridge or an implant-supported one, our experienced team will guide you every step of the way.
A dental bridge is an excellent option for patients looking to restore their smile and oral functionality after losing one or more teeth. You may be a good candidate if:
- You Have Missing Teeth: Bridges are designed to replace one or more consecutive missing teeth, filling gaps in your smile.
- You Have Healthy Adjacent Teeth or Implants: For a traditional or cantilever bridge, the teeth adjacent to the gap must be healthy and strong enough to support the bridge. If you have dental implants, an implant-supported bridge may be ideal.
- You Maintain Good Oral Health: Candidates should have healthy gums and a commitment to proper oral hygiene, as the success of a bridge depends on maintaining the surrounding teeth and gum health.
- You Prefer a Non-Surgical Option: If you’re looking for an alternative to dental implants, bridges provide a non-surgical solution to restore your smile.
- You Want to Prevent Future Issues: A bridge helps maintain the natural alignment of your teeth and prevents neighboring teeth from shifting into the empty space, which can lead to bite and jaw problems.
Not a Good Candidate?
If you have advanced gum disease, severely weakened teeth, or prefer a removable option, other solutions like dentures or implant-supported restorations may be more suitable.
At Pelican Dental Care, we’ll carefully evaluate your oral health and unique situation to recommend the best solution to meet your needs.
The dental bridge process typically takes between 2 to 4 weeks, depending on the complexity of the case and the materials used. At Pelican Dental Care, we streamline this process to ensure efficiency and quality at every step. Here’s how it works:
Pelican Dental Care’s Dental Bridge Process:
Exam, Diagnosis, and Treatment Planning
During your initial visit, we conduct a comprehensive exam, discuss your options, and develop a treatment plan tailored to your needs.
If possible, this can be combined with the next step to save time.
Payment and Starting the Process
Once the treatment plan is finalized and payment arrangements are made, we begin the process immediately.
Tooth Extraction and Bone Placement (if necessary)
- If an extraction and bone placement are required, they are completed on the same day.
Preparation of Teeth and Temporary Bridge Delivery
- Your teeth are prepared for the bridge, and a temporary bridge is placed to protect your teeth and gums.
High-Quality Dental Impressions
- Three days after the preparation, a detailed impression is taken to ensure a precise fit. This impression is sent to our trusted U.S.-based lab.
Fabrication of the Custom Bridge (10-14 Business Days)
- Your high-quality, American-made dental bridge is crafted to meet our strict quality standards.
Inspection and Final Cementation:
- Once we receive the bridge, it is thoroughly inspected for quality and precision. You’ll then return for the final fitting and cementation.
Total Time Patients Can Expect
At Pelican Dental Care, the entire dental bridge process typically takes about 3 to 4 weeks from start to finish. This includes the initial consultation, any necessary extractions or bone placement, preparation and temporary bridge placement, lab fabrication time, and the final cementation appointment.
While individual cases may vary slightly, we prioritize efficiency without compromising on the quality of care, ensuring you receive a durable and precise dental bridge within a predictable timeframe.
A dental bridge can replace one or more missing teeth, depending on the type of bridge and the health of the supporting teeth or implants.
- Typical Range: Most dental bridges are designed to replace 1 to 4 teeth in a row.
- Traditional or Cantilever Bridges: These typically replace 1 to 2 teeth, as adding more can put too much stress on the supporting teeth.
- Implant-Supported Bridges: These can replace several teeth in a row because implants provide a stable and durable foundation.
The exact number of teeth a bridge can replace depends on factors like:
- The location of the gap in your mouth.
- The strength and health of the adjacent teeth or implants.
- The type of bridge being used.
Dental bridges offer several benefits for patients looking to restore their smile and oral function after losing one or more teeth. Here are the key advantages:
- Restores Your Smile: Bridges fill the gap left by missing teeth, giving you a natural-looking smile and boosting your confidence.
- Improves Chewing and Speaking: Missing teeth can make it difficult to chew or pronounce certain words. A dental bridge restores functionality, making everyday tasks easier.
- Prevents Teeth from Shifting: By filling the gap, a bridge prevents neighboring teeth from shifting out of alignment, which can cause bite issues or jaw pain over time.
- Quick and Non-Invasive Solution: Unlike dental implants, bridges don’t require surgery, making them a faster and less invasive option for replacing missing teeth.
- Durable and Long-Lasting: With proper care, dental bridges can last 10-15 years or more, providing a dependable solution for missing teeth.
- Cost-Effective: Dental bridges are often more affordable than other permanent tooth replacement options, such as implants, especially when covered by an in-house discount plan like the one offered at Pelican Dental Care.
At Pelican Dental Care, we ensure that every bridge is customized to fit seamlessly with your natural teeth, combining function, durability, and aesthetics.
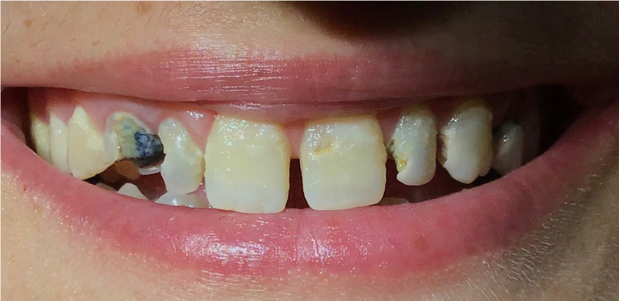
While dental bridges are an effective solution for replacing missing teeth, they come with certain limitations and considerations. Here are some potential disadvantages:
- Impact on Adjacent Teeth: Traditional bridges require the adjacent teeth to be reshaped for crowns, which can weaken these teeth over time.
- Lifespan Limitations: While durable, bridges typically last 10-15 years. Over time, they may need to be replaced due to wear or changes in the supporting teeth or gums.
- Potential for Decay: The crowns supporting the bridge can be more prone to decay if proper oral hygiene isn’t maintained.
- Does Not Replace Roots: Unlike implants, bridges do not replace the tooth root, which means the underlying jawbone in the gap area may shrink over time.
- Maintenance Challenges: Cleaning under and around the bridge requires extra care to prevent plaque buildup and gum disease.
- Less Suitable for Large Gaps: Bridges may not be the best option for replacing multiple missing teeth, as they rely on the strength of the surrounding teeth or implants.
At Pelican Dental Care, we take the time to evaluate your individual needs and educate you on all your options, so you can make an informed decision about your oral health.
Yes, a dental bridge is generally less expensive upfront than a dental implant. However, the overall cost-effectiveness depends on several factors:
Upfront Costs:
- Dental bridges typically have a lower initial cost compared to implants because they do not require surgical placement.
- The average cost of a dental bridge can range from $2,000 to $5,000, depending on the type and number of teeth replaced.
Long-Term Costs:
- While implants are more expensive initially, they tend to last longer—often a lifetime with proper care—making them more cost-effective over time.
- Dental bridges, on the other hand, may need replacement every 10-15 years, which could increase long-term costs.
Insurance and Discount Plans:
- Dental bridges are more likely to be partially covered by insurance plans. At Pelican Dental Care, our Pelican Dental Care Memberships also offer significant savings on dental bridges, making them an even more affordable option.
Additional Factors:
- Dental bridges may require maintenance or replacement of the supporting teeth or crowns, which can add to the overall expense.
- Implants require healthy bone structure and sometimes bone grafting, which can increase the cost and complexity of treatment.
At Pelican Dental Care, we help you weigh the pros and cons of each option, considering your budget, oral health, and long-term goals. Let us guide you to the best choice for your smile and your wallet.
The cost of a dental bridge can vary depending on the type of bridge, the materials used, and the number of teeth being replaced. Here’s a general breakdown:
Average Costs:
- 3-Unit Bridge: Typically ranges from $2,000 to $5,000.
- 4-Unit Bridge: Typically ranges from $3,000 to $7,000.
Pelican Dental Care’s Bridge Special:
- With our Pelican Dental Care Memberships specials, we offer exclusive pricing for dental bridges:
- 3-Unit Bridge: Special price of $2,400.
- 4-Unit Bridge: Special price of $2,900.
- These savings are part of our commitment to making high-quality dental care accessible and affordable for all our patients.
Factors Affecting Cost:
- Type of Bridge: Traditional bridges are generally less expensive than implant-supported bridges.
- Materials Used: Porcelain or ceramic bridges are often more expensive than metal or composite options due to their natural appearance.
- Complexity of Treatment: The condition of the supporting teeth or the need for additional procedures (e.g., crowns, root canals) can influence the total cost.
The lifespan of a dental bridge typically ranges from 10 to 15 years, but with proper care, some bridges can last even longer. Several factors influence how long a dental bridge will last:
- Material Quality: Bridges made from durable materials like porcelain or ceramic fused to metal tend to last longer. At Pelican Dental Care, we work with trusted labs to ensure high-quality, long-lasting bridges.
- Oral Hygiene: Maintaining good oral hygiene, including brushing, flossing under the bridge, and regular dental check-ups, is essential to prevent decay and gum disease that can weaken the bridge's support.
- Diet and Habits: Avoiding hard or sticky foods and bad habits like nail-biting or teeth grinding can prolong the life of your bridge.
- Gum and Tooth Health: Healthy gums and supporting teeth are critical for the longevity of your bridge. Regular cleanings and monitoring ensure the surrounding area remains strong.
Proper care is essential to maintain the longevity and functionality of your dental bridge. Here are some key steps to ensure your bridge stays in great condition:
- Brush Twice Daily:
- Use a soft-bristled toothbrush and fluoride toothpaste to clean your teeth, including the bridge, thoroughly. This helps remove plaque and prevent decay around the supporting teeth.
- Floss Under the Bridge:
- Use floss threaders or specialized interdental brushes to clean under the bridge where food particles and plaque can accumulate.
- At Pelican Dental Care, we provide complimentary floss threader packets during your hygiene visits to make this process easier and more convenient.
- Maintain Healthy Gums:
- Healthy gums are critical for the stability of your bridge. Visit your dentist regularly for professional cleanings.
- Avoid Hard and Sticky Foods:
- Limit consumption of foods that can damage your bridge, such as hard candies, popcorn kernels, and sticky caramels.
- Address Grinding or Clenching:
- If you grind or clench your teeth, consider using a nightguard to protect your bridge from undue stress.
- Schedule Regular Dental Check-Ups:
- Regular visits to Pelican Dental Care allow us to monitor the health of your bridge and the supporting teeth or implants.
While dental bridges are a popular and effective option for replacing missing teeth, there are other alternatives to consider based on your specific needs and preferences:
Dental Implants:
- What They Are: Implants are titanium posts surgically placed into the jawbone to serve as artificial roots for replacement teeth.
- Pros: Long-lasting, preserves jawbone, and doesn’t rely on adjacent teeth for support.
- Cons: Higher initial cost and requires sufficient bone density for placement.
- Want to learn more about dental implants? Click here.
Do Nothing (Not Recommended):
- Leaving a gap untreated can lead to tooth shifting, bite misalignment, jawbone loss, and difficulty chewing or speaking over time.
Partial Dentures:
- What They Are: Removable appliances with artificial teeth that fill gaps in your smile.
- Pros: Cost-effective and non-invasive.
- Cons: Less stable than bridges or implants, and they must be removed for cleaning.
Pelican Dental Care’s Membership Implant Special:
- Take advantage of exclusive pricing on dental implants through our Pelican Dental Care Memberships. This special makes high-quality implants more affordable for our patients.
- Want to learn more about Pelican Dental Care's Membership Implant Special? Click here.
We are excited to offer a Dental Bridge Special through our Pelican Dental Care Memberships, making it easier for patients to restore their smile with high-quality dental care at an affordable price.
Special Pricing:
- 3-Unit Bridge: $2,400
- 4-Unit Bridge: $2,900
3-Unit Bridge Special: $2,400
Includes:
- Two Abutment Crowns (D6740): Custom crowns that anchor the bridge securely.
- One Pontic (D6245): The artificial tooth to replace a missing tooth.
- Tooth Extraction (if required): Removal of damaged or decayed teeth as needed.
- Bone Placement in Extraction Site (if required): Strengthens the site for long-term stability.
- Core Build-Ups (D2950) (if required): Provides reinforcement to abutment teeth to support the bridge.
4-Unit Bridge Special: $2,900
Includes:
- Two Abutment Crowns (D6740): Custom crowns that anchor the bridge securely.
- Two Pontics (D6245): Artificial teeth to fill the gap of two missing teeth.
- Tooth Extraction (if required): Removal of damaged or decayed teeth as needed.
- Bone Placement in Extraction Site (if required): Strengthens the site for long-term stability.
- Core Build-Ups (D2950) (if required): Provides reinforcement to abutment teeth to support the bridge.
At Pelican Dental Care, we ensure our dental bridges are crafted to deliver both durability and aesthetics. Our all-inclusive packages provide patients with the highest standard of care while saving money.