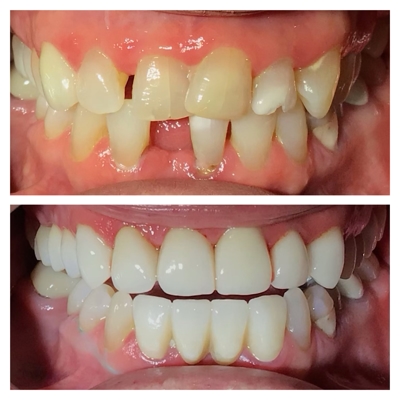
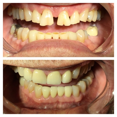
Multiple Crowns/Bridges

  •  Photo

  • What Do Our Patients Have to Say About Us?

    We Respect & Value all of Our Patients.

    How Can We Help You

    • Our Dental Services

      If you're new to the community and seeking a fresh dental experience, or if you're simply curious about the array of dental services awaiting you upon joining our familial network, we invite you to take a closer look and explore the comprehensive offerings available to enhance your oral health journey with us.

    • Veneer Smile Makeover

      At Pelican Dental Care, our veneer smile makeovers are designed to enhance—not reinvent—your smile. Using ultra-thin, custom-crafted porcelain or composite veneers, we refine the front surface of your teeth to correct chips, stains, gaps, or worn edges. The result is a naturally radiant smile that still feels like you—just elevated. For our members, full smile transformations begin at just $300 per veneer when purchased as part of our 16-veneer smile makeover package. All care is delivered with precision in Vero Beach, proudly serving Indian River, Brevard, and Port Saint Lucie counties.

    • Pelican Dental Care Memberships

      We saw the need for affordable dental care in our community, so we created our Memberships and Loyalty Ladder. These are not insurance—they’re more personalized to your needs. Every membership includes all recommended cleanings and exams, with treatment savings starting at 40% for adults and children, and 50% for seniors. Stay with us, and your discounts grow—up to 54% for adults and 64% for seniors.

    • Our Parental Guidelines

      At our clinic, we gently guide each child to their dental appointment, offering parents the choice to explore our facilities before the beginning of the appointment.  Drawing on years of expertise, we've observed that children often adapt better when navigating the dental experience independently, fostering a direct bond of trust with our dental team. After the examination, we ensure parents are fully briefed on the diagnosis and treatment options, aligning with the American Academy of Pediatric Dentistry's guidance for a parent-free treatment zone for children.

    • What Is a Dental Membership?
      At Pelican Dental Care, we believe clarity brings peace of mind. Our dental membership is a simple, transparent way to receive ongoing care with the same trusted team — without the complexity or restrictions of traditional insurance. Members enjoy predictable pricing, thoughtful perks, and a sense of continuity built around trust. It’s care designed to feel straightforward, supportive, and genuinely accessible.
    • Pelican Dental Care’s Neuromodulator Injections
      Discover the rejuvenating power of neuromodulator injections at our Vero Beach dental clinic, where beauty and wellness meet. Whether you’re seeking to diminish fine lines, prevent signs of aging, or explore neuromodulator injections’ therapeutic benefits, our expertly trained Doctor is here to guide you. Dive into a world of personalized care and learn how neuromodulator injections at Pelican Dental Care’s Vero Beach location can enhance your natural beauty, boost your confidence, and improve your quality of life. Click to unveil the possibilities and embark on your journey to a refreshed, vibrant you.

    Why Pelican Dental Care?

    Courtesy, Integrity, Respect & Efficiency
    • Panoramic Imaging for full-mouth diagnostics
    • Private consultation spaces
    • Spacious, private operatories
    • Digital X-Rays (faster results)
    • Soothing color palette and natural lighting
    • ADA-compliant and accessible layout

    Contact Us Today!

    Caring for Your Family